Collection
ICA Miami's permanent collection articulates cornerstone moments in the careers of some of the most significant artists of our time.

Joseph Beuys
Phosphorus-Cross Sled

Manuel Solano
Manuel (from the series "Pose")

Laure Prouvost
Narrative Painting, When The Love Was Swallowed

Kenturah Davis
Contending with Contingency IX

Melanie Schiff
Hellroom

Cameron Rowland
probability of escape

Shona McAndrew
Carmen

Carissa Rodriguez
Juste un Clou

Sula Bermúdez-Silverman
Poor Man’s Meat

Loie Hollowell
Stacked Lingams in yellow, purple and green

Mark Ryan Chariker
Intermission

Allan McCollum
Plaster Surrogate

Iiu Susiraja
Rakastaa, ei rakasta (Loves Me, Loves Me Not)

Allan McCollum
Plaster Surrogate

Jinbin Chen
That Summer, You and I Hid in that Vast Still Sea

Issy Wood
Dating (so glad that it did)

Shinya Imanishi
Glimmering 19

Jack Pierson
IDOLS
Tau Lewis
The Tongue and the Teeth
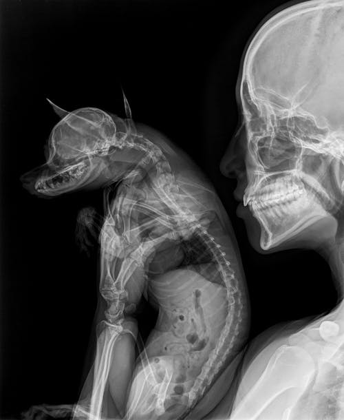
20 of 814
/ 814